SCC Maxillary Gingivae & Palate

Liverpool Head & Neck Centre

← Back to Case Reports
Defect Classification Brown Class 2c
Flap Type Radial Forearm Flap
Radiotherapy No Radiotherapy

Implant Description

Quad zygomatic implant placement

Prosthesis Type

Fixed metal-acrylic hybrid prosthesis

Clinical Notes

Prosthesis fitted 2 weeks following surgery.

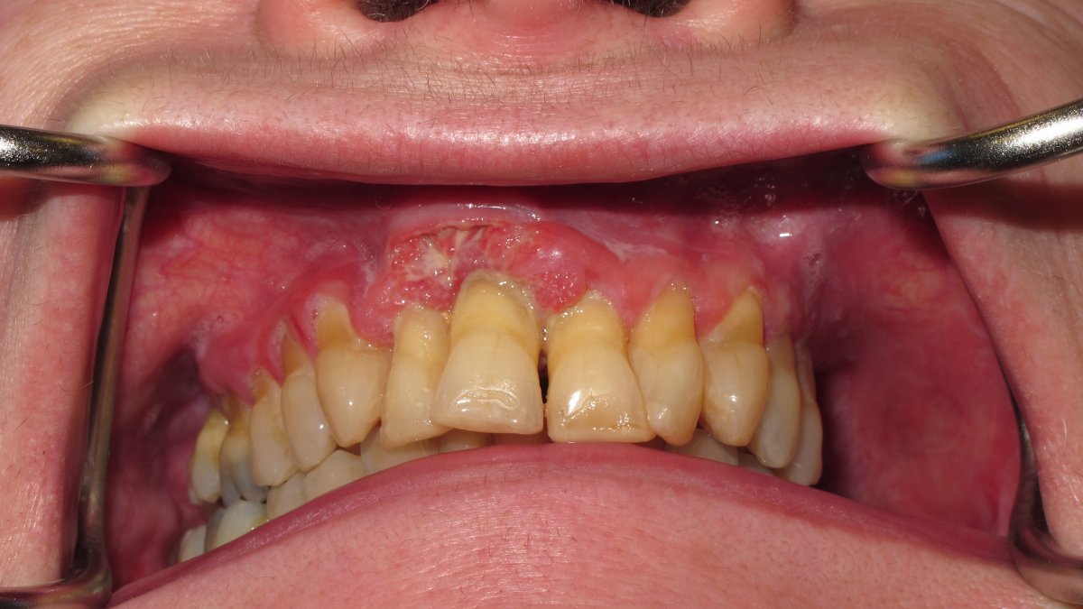
Gingival tumour
Gingival tumour
Palatal view
Palatal view
post-resection
post-resection
zygomatic implant placement
zygomatic implant placement
Impressions
Impressions
Impressions
Impressions
Flap inset
Flap inset
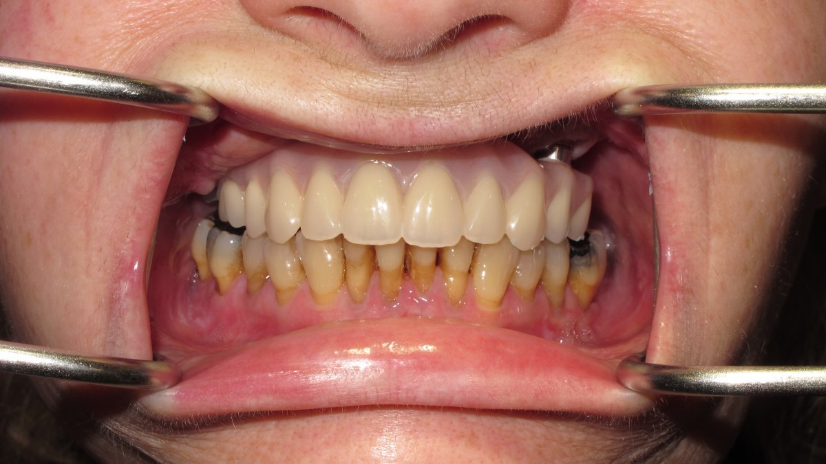
prosthesis
prosthesis
Fitted prosthesis
Fitted prosthesis
Post-op Radiograph
Post-op Radiograph
Gingival tumour