Latest News

Updates and announcements about the ZIP Flap technique

Prof Butterworth awarded Honorary Fellowship Ad-Hominem from RCS Edinburgh
Award 5 Dec 2025

Prof Butterworth awarded Honorary Fellowship Ad-Hominem from RCS Edinburgh

Prof Butterworth was recently awarded an honorary fellowship ad-hominem by the Royal College of Surgeons of Edinburgh

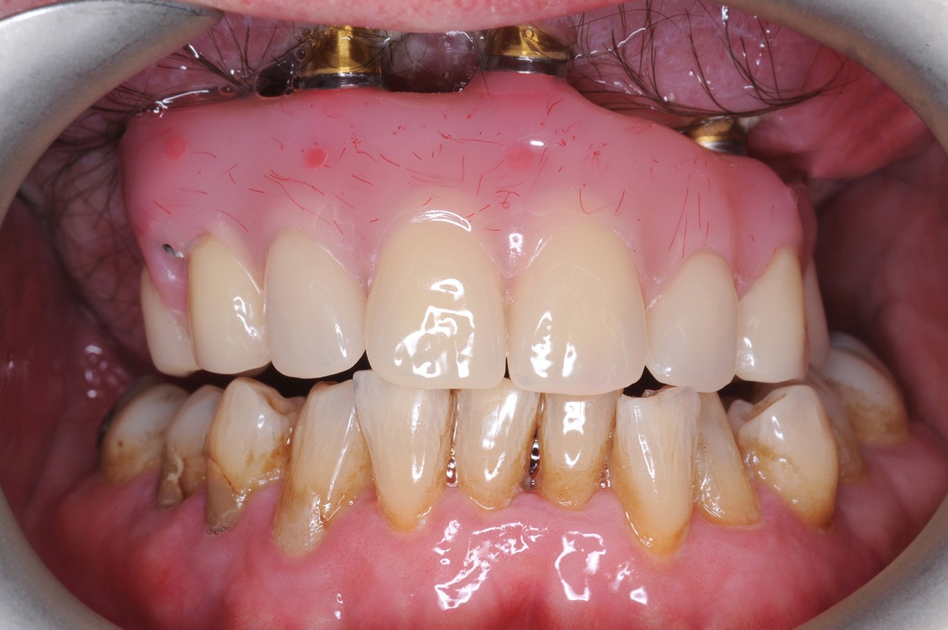
Lancashire and South Cumbria first for Maxillofacial and Restorative Teams at Lancashire Teaching Hospitals
News 12 Jul 2024

Lancashire and South Cumbria first for Maxillofacial and Restorative Teams at Lancashire Teaching Hospitals

Clinicians at the Royal Preston Hospital reported their first ZIP Flap on a 81 year old patient treated for squamous cell carcinoma of the hard palate. The surgery, which was led by Mr Pavan Padaki, Consultant Maxillofacial Surgeon with Dr Jennor Trainor providing the prosthodontics treatment.