Case Reports
Clinical outcomes using the ZIP Flap technique
Defect:
Flap:
Treatment:
Institut Gustave Roussy Villejuif
Secondary ZIP Flap to replace obturator
Brown Class 2b
Radial Forearm Flap
Post-op Radiotherapy
Liverpool Head & Neck Centre
Left Palate tumour with immediate prosthesis at time of surgery
Brown Class 2b
Radial Forearm Flap
Post-op Radiotherapy
Liverpool Head & Neck Centre
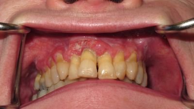
SCC Maxillary Gingivae & Palate
Brown Class 2c
Radial Forearm Flap
No Radiotherapy