Left Palate tumour with immediate prosthesis at time of surgery

Liverpool Head & Neck Centre

← Back to Case Reports
Defect Classification Brown Class 2b
Flap Type Radial Forearm Flap
Radiotherapy Post-op Radiotherapy

Implant Description

Quad Zygomatic Implant placement

Prosthesis Type

Initial denture conversion prosthesis

Clinical Notes

Definitive milled acrylic prosthesis was placed 2 weeks later before radiotherapy

Pre-op
Pre-op
Perforated flap
Perforated flap
Initial prosthesis
Initial prosthesis
Initial prosthesis
Initial prosthesis
healed flap at 2 weeks
healed flap at 2 weeks
definitive prosthesis fitted
definitive prosthesis fitted
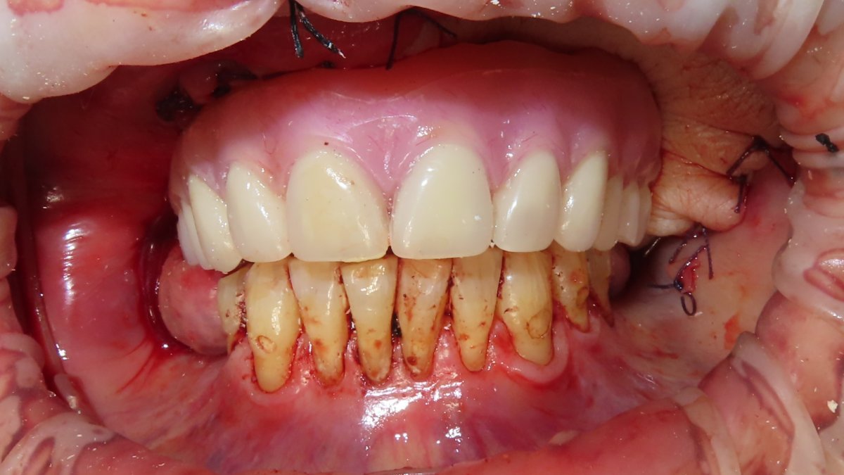
Definitive prosthesis occlusion
Definitive prosthesis occlusion
Pre-op